Беспокойство и повышенная температура — с такими симптомами и подозрением на инфекционное заболевание семья с 8-месячным ребенком обратилась в Туркестанскую городскую центральную больницу. Родители опасались кори, однако истинная причина оказалась куда более неожиданной.
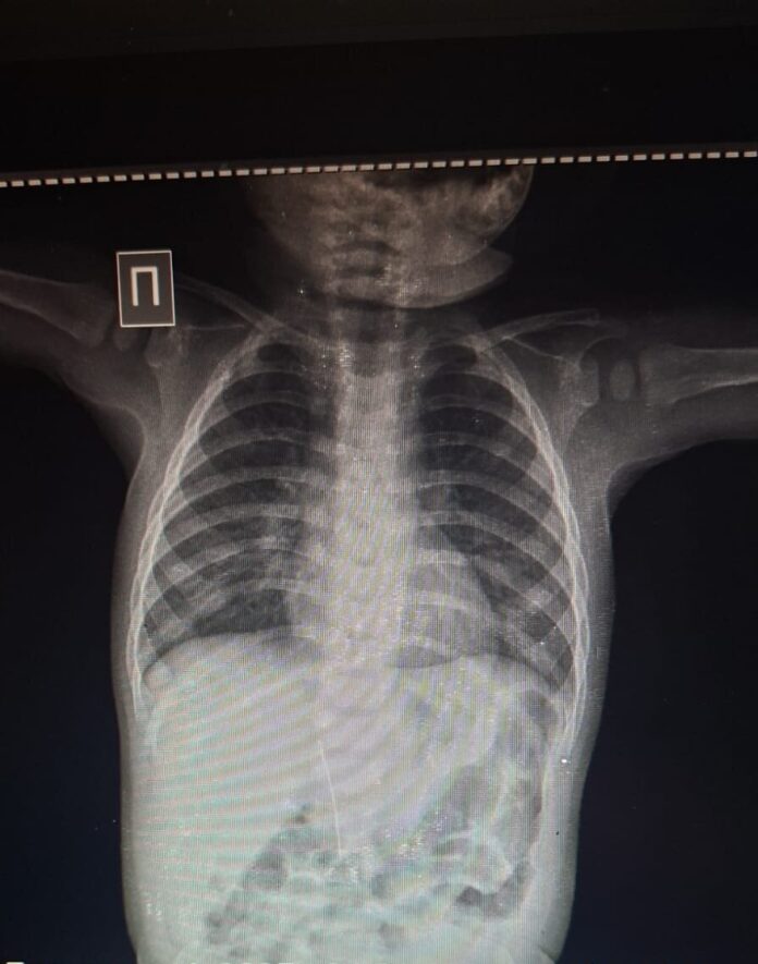
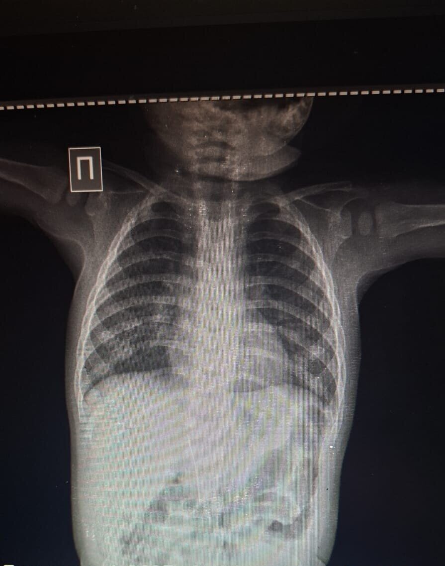
Во время обследования врачи провели рентгенологическое исследование, результаты которого шокировали даже опытных специалистов: в брюшной полости младенца была обнаружена игла. Как выяснилось позже, именно она стала причиной высокой температуры и постоянного беспокойства ребенка, а не инфекция.
По словам медиков, инородный предмет попал в организм не через пищеварительный тракт. Игла проникла со стороны области печени. Родители и врачи исключают возможность того, что ребенок мог проглотить ее самостоятельно.

«К операции были привлечены врачи Туркестанской городской центральной больницы и Туркестанской городской детской больницы. Хирургическое вмешательство было проведено в экстренном порядке. Благодаря своевременно оказанной помощи, операция прошла успешно, а все необходимые лечебные мероприятия были выполнены в полном объеме», — сообщили в областном управлении здравоохранения.
Как отмечают медики, состояние малыша стабильное, он идет на поправку и находится под наблюдением.






